Zahnersatz

Zahnersatz – viele Möglichkeiten

Zahnarzt_ Dr. BagoWas tun, wenn der Zahn irreparabel geschädigt ist? Wenn eine Zahnerhaltung nicht mehr ausreicht? Dann gibt es verschiedene Möglichkeiten für einen Zahnersatz – ob festsitzend, herausnehmbar oder in Kombination. Wir finden mit Ihnen die richtige Lösung. Da wir ein eigenes Zahnlabor mit erfahrenem Zahntechniker vor Ort haben, können wir eine komplette Versorgung aus einer Hand anbieten – mit Qualitätsgarantie.

Veneer, Brücke und Co. – eine feste Sache
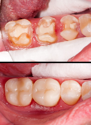
Veneers, Teil(Kronen), Brücken oder Implantate sind festsitzende Lösungen als Ersatz für fehlende Zähne. Sie werden entweder an vorhandenen Zähnen oder Implantaten befestigt.

Prothesen – Zahnersatz zum Herausnehmen
Daneben gibt es – in verschiedenen Varianten – den herausnehmbaren Zahnersatz: Angefangen von der Kunststoff-Prothese für einen einzelnen Zahn bis hin zu einer Totalprothese, die die Zahnreihen eines ganzen Ober- oder Unterkiefers ersetzen kann. Auch bei den herausnehmbaren Prothesen sind von einem Implantat getragene Ersatzlösungen möglich.

Die Kombi-Lösung – für einen besseren Halt
Eine dritte Möglichkeit in Sachen Zahnersatz ist die Kombination aus einem herausnehmbaren und einem festsitzenden Teil. Dabei wird die mobile Komponente an einer dauerhaft anzementierten Konstruktion aus Kronen, Brücken und anderer Teile befestigt. Vorteile des Ganzen: ein besserer Halt und bei Bedarf eine gute Erweiterbarkeit.
Wir beraten Sie gerne und finden gemeinsam mit Ihnen heraus, was das Beste für Sie ist.